診療予約
ウサギの子宮疾患について – 行徳どうぶつ病院

卵巣・子宮のトラブル

ウサギの子宮疾患について

01
概要

ウサギは子宮の病気が多いどうぶつです。当院でも、子宮の病気を持つウサギに遭遇することは少なくありません。

ウサギは1年を通じて繁殖するどうぶつで、1〜2日程度の発情休止期をはさんで7〜14日間の発情期を繰り返します。このため、子宮が女性ホルモンの刺激に持続的にさらされており、子宮疾患が発生しやすいと考えられています。

子宮の病気のなかではとくに腫瘍が多く、子宮の病気全体の7割近くを占めます。なかでも、子宮腺癌という悪性腫瘍の発生率が高いです。女性ホルモンにさらされる期間の長い高齢のウサギほど発生率は上がり、3歳以降のウサギの50%以上に子宮腫瘍がみられます※1。次いで多いのは子宮内膜の過形成や炎症です。犬でしばしばみられる子宮蓄膿症は、ウサギではあまりみられません。

※三輪恭嗣監修.エキゾチック臨床Vol.20 ウサギの診療.学窓社.2022.

02
症状

子宮に腫瘍や過形成が発生しても、はじめのうちはとくに症状がありません。一定以上に進行すると、子宮から出血し、その血液が尿に混じることで血尿になることがあります。ここで異常に気づく飼い主様が多いです。

大量に出血が起きると貧血によって状態が悪化することがありますが、そうでなければ全身状態に影響することはあまりありません。

転移が起きると、転移先によって以下のような症状があらわれます。

食欲がなくなる お腹が張ってくる 息が荒くなる 骨折(骨転移の場合)
03
診断

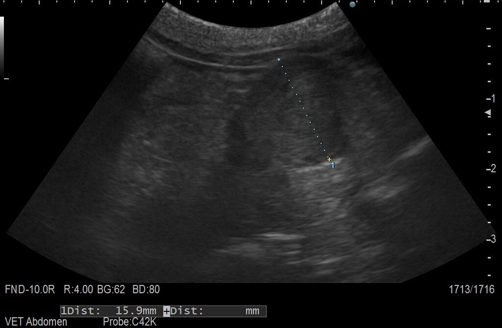
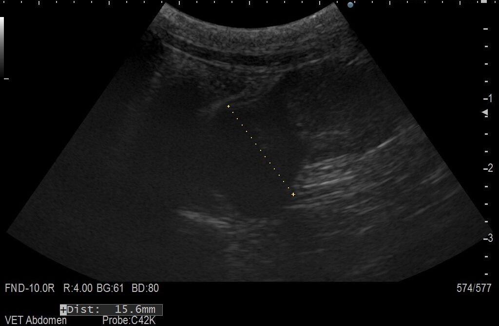
腫瘍や過形成による腫瘤が一定以上の大きさに育っていると、お腹の触診でしこりに触れることがありますが、多くの場合、レントゲン検査や超音波検査で、子宮にできたしこりを発見します。
ただし、腫瘍なのか過形成なのかを見分けたり、腫瘍の悪性・良性を判断するためには、子宮を手術で摘出し、病理検査を行う必要があります。
画像検査では、あわせて腫瘍の転移がないかどうかも調べますが、転移した腫瘍がまだ小さい場合、見つけられないこともあります。

エコー写真① エコー写真②

超音波検査で見つかった子宮腫瘍

04
治療

手術で子宮を摘出することで治療します。子宮に異常のあるウサギは卵巣にも異常があることが多いため、卵巣も一緒に摘出することがほとんどです。

写真:子宮腫瘍の手術中の様子
🔍 タップ/クリックで表示
05
予後

過形成や内膜炎の場合、腫瘍でも転移を起こしていない場合は、手術後は元気に暮らすことができます。 腫瘍が肺や骨に転移を起こしている場合は、残念ながらあまり長く生きられないことが多いです。ウサギの子宮腫瘍に対して有効性が認められた抗がん剤はなく、化学療法は一般的ではありません。このため、早期発見が重要になります。

06
予防
若齢時の避妊手術

子宮の腫瘍は、若齢時に避妊手術をすることで予防することができます。避妊手術をしていないウサギには高い確率で子宮腫瘍が発生するため、当院では雌のウサギには避妊手術をおすすめしています。手術を検討されている方、お悩みの方はぜひご相談ください。

定期的な健康診断

早期発見することで、腫瘍の転移を防ぎ、手術による完治を狙うことができます。初期段階では症状が見られないことが多いため、定期的な健康診断を当院ではお勧めしています。