診療予約
ウサギの消化管鬱滞について – 行徳どうぶつ病院

消化管鬱滞

ウサギの消化管鬱滞について

01
概要

ウサギは、さまざまな要因で消化管の運動が低下します。消化管運動の低下は内容物の蓄積や異常な発酵を招き、胃や盲腸の鬱滞や、胃拡張を引き起こします。重度になると命に関わることもある疾患です。

ストレスや繊維質の少ない食餌、異物摂取などが原因となります。

意外な原因:関節炎や尿路結石、虫垂炎といったほかの病気によるストレスが発症の引き金になることも!背後に隠れた疾患までしっかり調べてあげる必要があります。また、捕食動物(犬や猫)の存在や車や電車・バスでの移動・急激な環境の変化などもウサギにストレスを与えます。

異物としては毛づくろいの際に舐めとった被毛がもっとも多いです。飲み込んだ被毛は通常そのまま糞に混じって排泄されますが、ストレスなどで消化管の運動が低下していると毛球となり、胃や腸に詰まることがあります。

02
症状

重症度によって現れる症状が異なります。まずは糞の変化から気づくことが多いです。

軽度
糞の小型化・変形 糞の減少 糞が被毛で繋がって出る
重度
食欲低下 お腹の張り・痛み 活動性の低下 歯ぎしり 耳・足先の冷え
※耳・足先の冷えは胃拡張による血流悪化が原因です
03
診断

お腹を触診して、胃が張っていたり、硬くなっていたりしないか、痛みはないかを調べます。さらに各種検査を組み合わせて、状態の把握と原因疾患の有無を確認します。

01
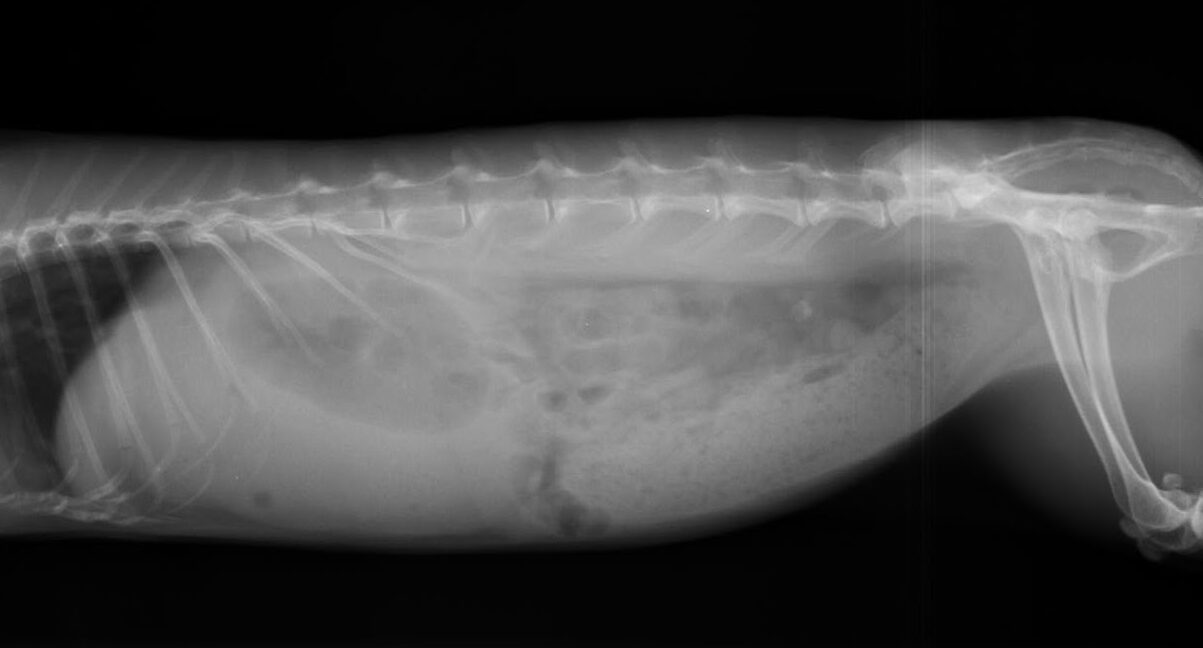
レントゲン検査 胃の大きさや内容物の状態、小腸・盲腸のガスの溜まり具合を確認します。鬱滞を引き起こす別の病気がないかどうかも確認します。
02
血液検査 全身状態の把握と、別の病気の発見のために行います。
03
エコー検査・口腔内検査 上記の検査で必要と判断された場合はエコー検査を行います。不正咬合の有無を調べるため、お口のチェックをすることもあります。
レントゲン写真① レントゲン写真②
04
治療

消化管の動きを改善し、内容物を排泄させることが目標になります。重症度によって治療方針が異なります。

軽度の場合
  • 消化管の動きを促進するお薬の投与
  • 流動パラフィンを含むペーストで内容物を柔らかくする
重度の場合
  • 注射(消化管からの薬の吸収が難しいため)
  • 脱水緩和のための点滴
  • 重症度によっては入院・持続点滴
  • 食欲増進剤の投与・流動食の強制給餌
  • 消化管閉塞がある場合は手術による摘出
鬱滞につながる原因疾患がある場合は、その治療も並行して行います。
05
予後

軽症であれば数日お薬を飲むだけでよくなることが多いです。原因疾患がある場合はそちらの重症度にも左右されます。

入院するようなケースでは、1〜数週間の治療で助かることも多いですが、併発した肝障害やショックによって亡くなってしまうこともあります。手術が必要になるようなケースでは、手術をしたとしても助からないことがあります。

予防と早期治療が大切です。
06
予防
ストレスのない環境での飼育

捕食動物(犬・猫)との接触を避け、急激な環境変化を与えないようにしましょう。

十分な運動

適度な運動は消化管の動きを促進します。毎日ケージの外で遊ばせる時間を設けましょう。

高繊維の食餌(イネ科牧草)を十分に与える

原則として牧草と適量のペレットのみを与えましょう。野菜や果物はウサギが喜んで食べますが、与え過ぎは鬱滞につながります。おやつ程度にとどめてください。

定期的なブラッシング

ブラッシングにより抜け毛を取り除き、ウサギが口にしてしまう被毛の量を減らすことが大切です。ご自宅でのブラッシングが難しい場合、病院で実施することも可能です。お気軽にお問い合わせください。